
Диагностика и лечениеВНЧС Имплантология
Эстетические реставрации
Первичная консультация бесплатно
Спасибо за заявку!
В ближайшее время мы свяжемся с вами
В ближайшее время мы свяжемся с вами
Ошибка! Что-то пошло не так.


Посмотреть
лечения сложных случаев и
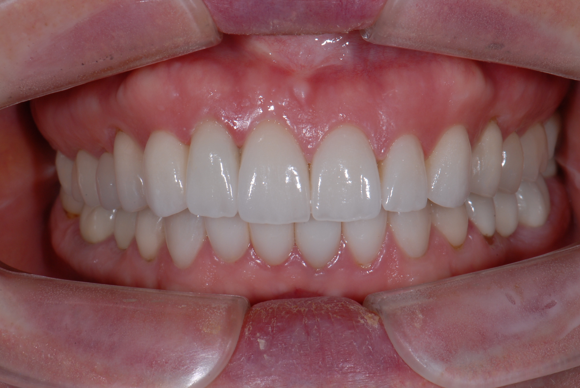
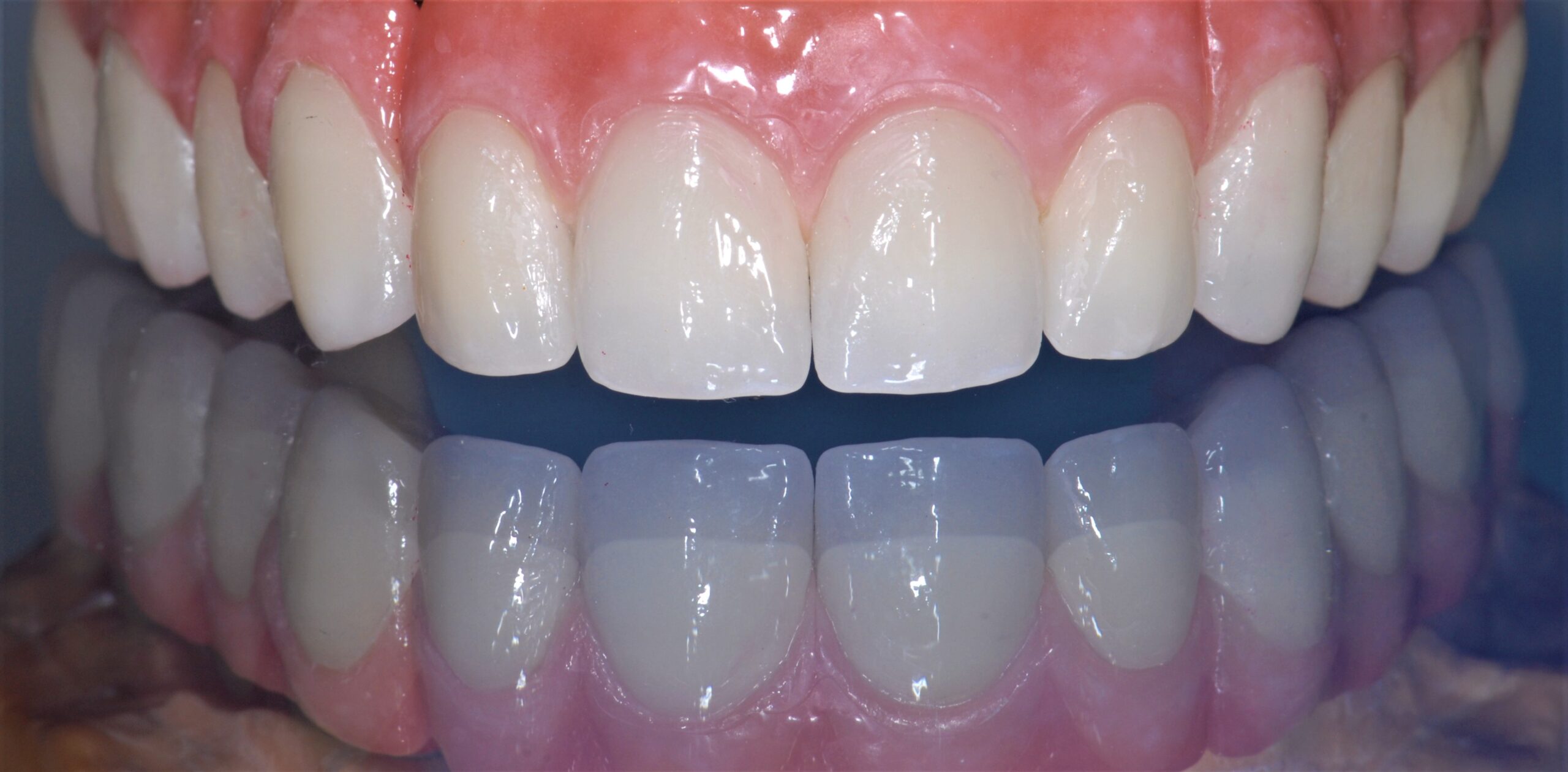
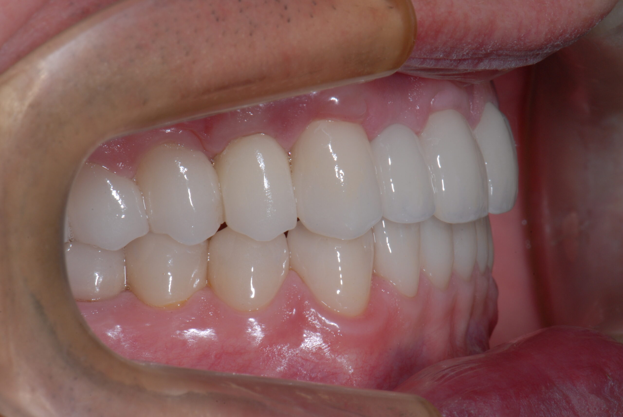
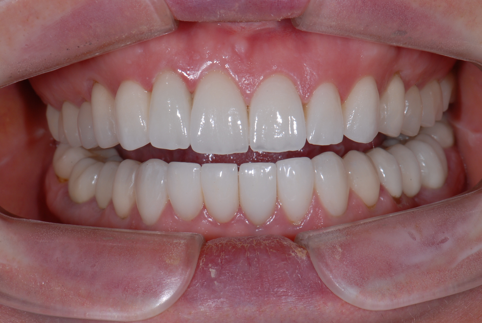
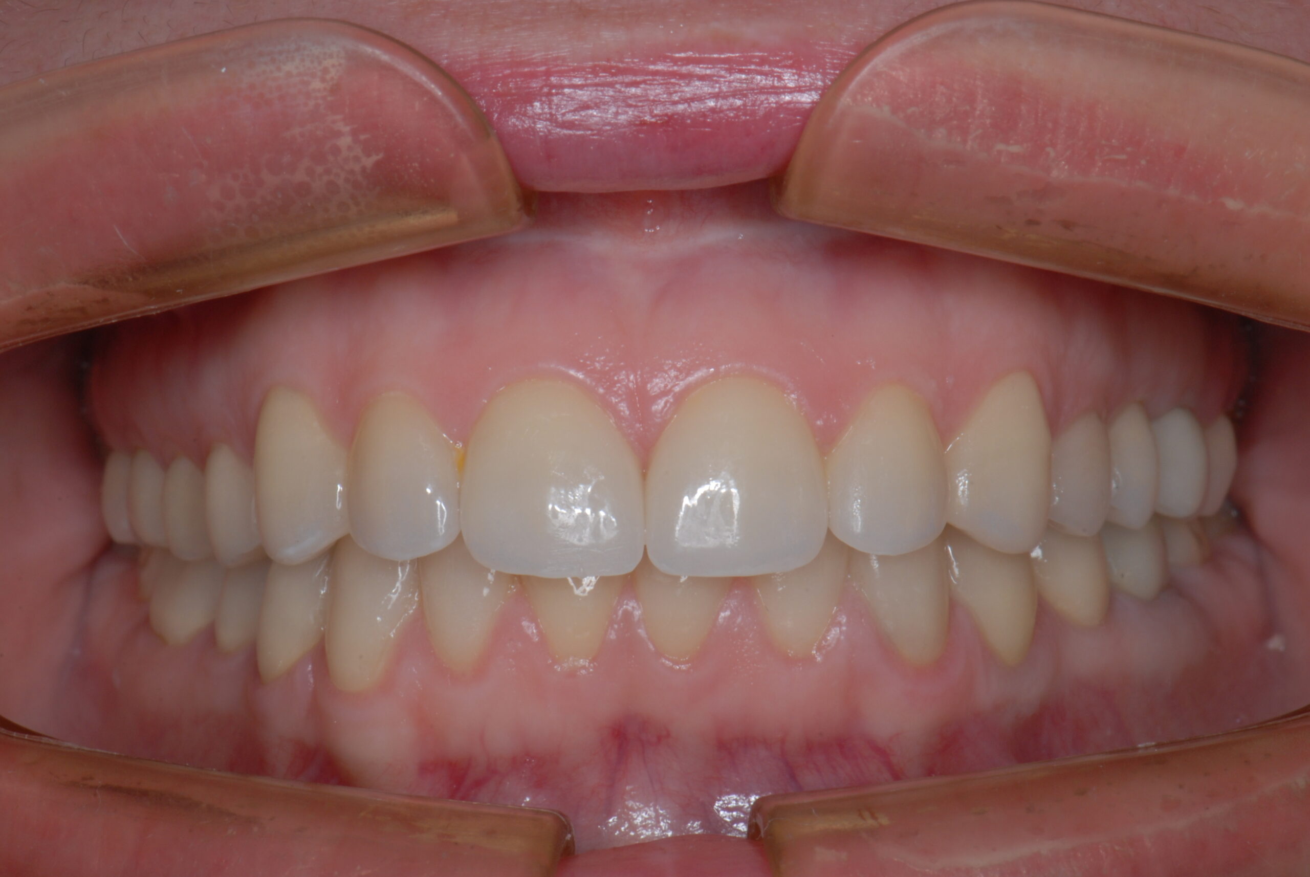
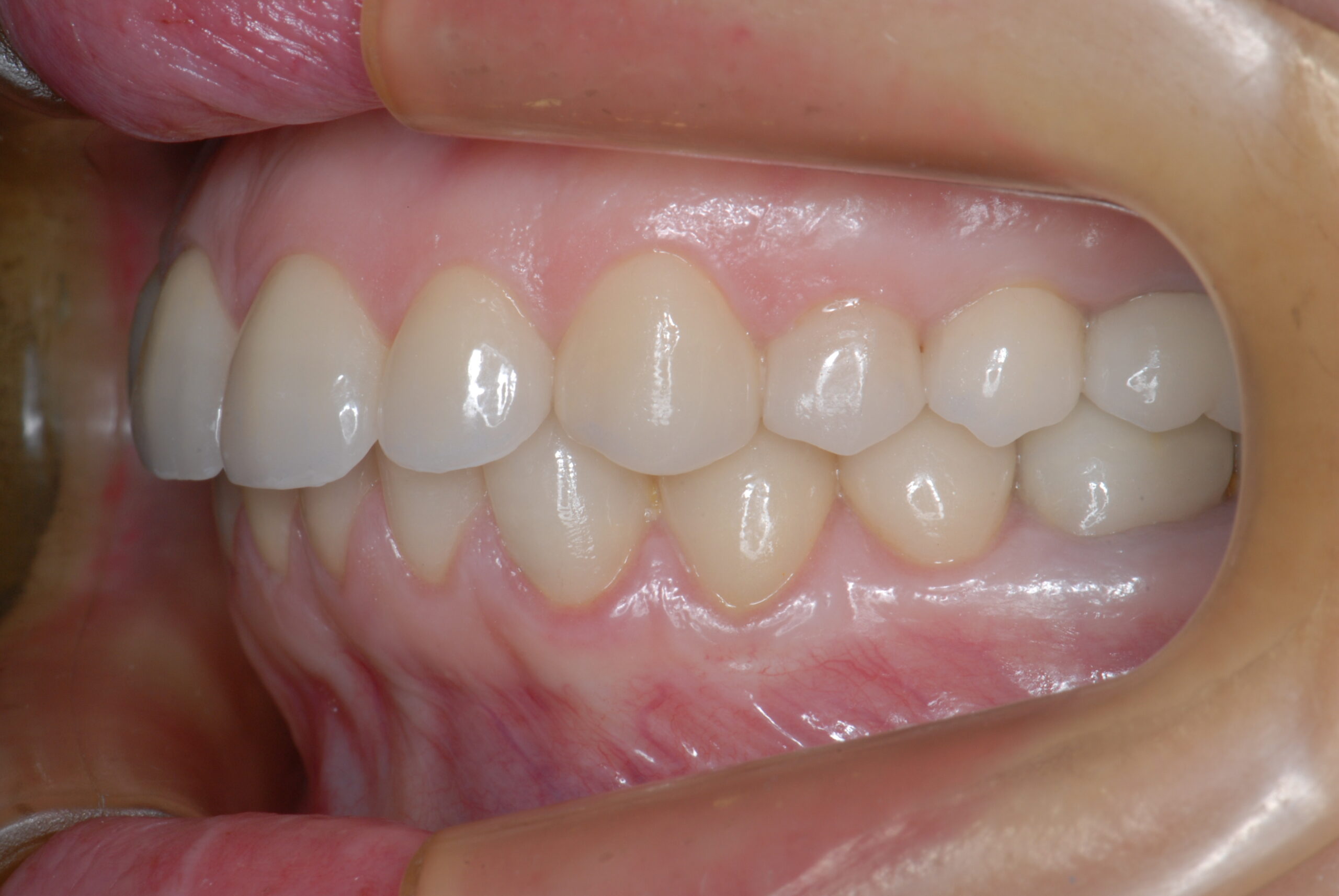
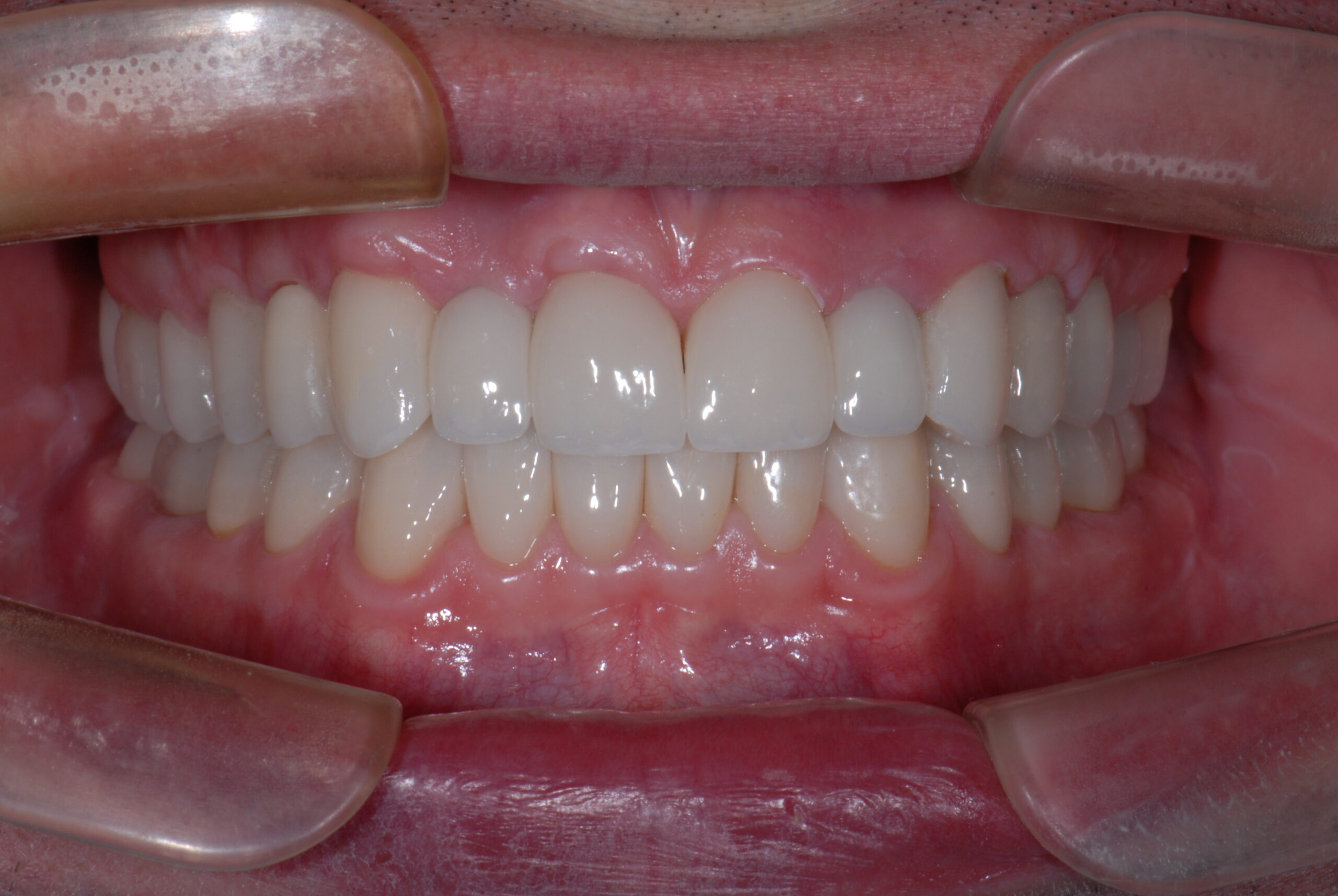
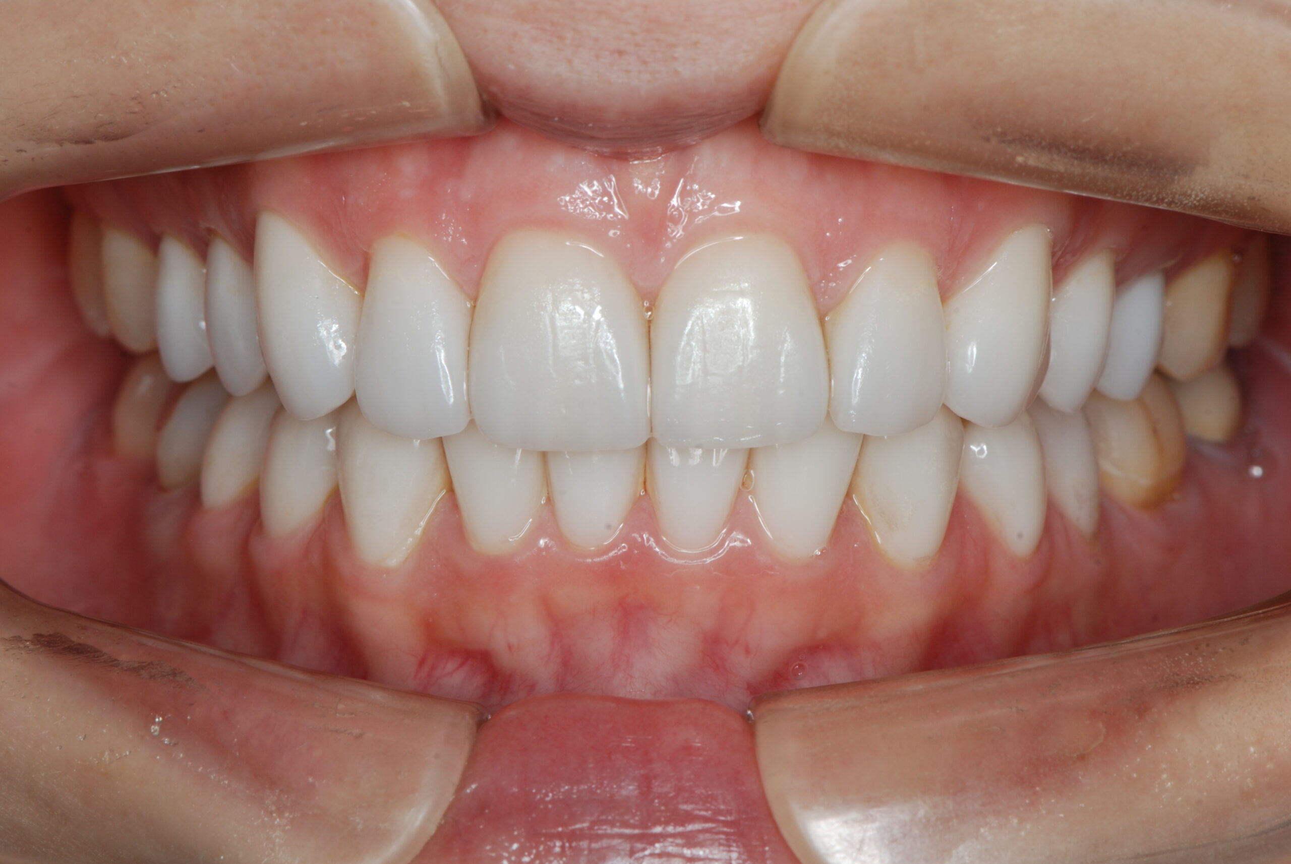
Результат
лечения сложных случаев и
люминиры
Неправильный прикус
стираемость
щелчок
ортотик
каппа (сплинт)
боли ВНЧС
отсутствие зубов
одномоментная имплантация
виниры
коронки
вкладки
удаление зубов
имплантация
многое другое...




5
Елизавета Нечаева
Наверное, никогда бы не решилась, если бы не предстоящая свадьба. Честно сказать, опасалась, и сильно, потому как перед посещением стоматолога начиталась не очень хороших отзывов. Но деваться было уже некуда, на фото и на торжестве надо было "сиять", а с моими зубами это, конечно, было невозможно. На первом посещении стоматолог подобрал цвет и изготовил формочку для будущих накладок. На второе посещение мне немного обточили верхний слой зуба и поставили временные; они уже, на мой взгляд, были идеальны. Через неделю были готовы мои люминиры. Кстати, я переживала, что зубы будут выглядеть как ненастоящие, но напрасно: снизу зуб чуть полупрозрачный, потом хороший ровный цвет - в общем, все выглядит хорошо!
20 мая 2023
многое другое...






5
Алина Акилова
По отзывам обратилась к Руслану Магомедовичу в основном как к гнатологу, но решила всю стоматологическую работу так же продолжить у него. Он взялся за моё сложное лечение. На первой же консультации он сделал аксиографию и снял слепки для приготовления капы, чтобы исправить челюсть и мой поперечный прикус. Далее поставил импланты, сколько было необходимо. Провёл цельнокерамическую реставрацию всех зубов. Результат долгих трудов ошеломляющий! Истёк гарантийный срок. Не было никаких проблем. Самое главное - что сустав уже давно не болит, исправилась челюсть, дикция, артикуляция, прикус стал очень красивым, ровным, правильным. О таком прикусе я даже и не мечтала.
03 марта 2023
многое другое...






5
Анастасия Евдеева
О такой профессии, как гнатолог, я никогда не слышала. Пока однажды утром я проснулась с ужасной болью в области сустава челюсти, рот не открывался, в панике записалась к первому попавшемуся врачу в стоматологическом институте. На приеме рассказали много ужасов и сказали, что без операции проблему не решить. Только тогда вспомнила, что подруга лечила сустав и рекомендовала доктора Дибирова. На приеме Руслан Магомедович внимательно выслушал жалобы, прощупал все болевые точки и сделал каппу. Легче стало сразу! Уже больше 3 лет нет никаких неприятных ощущений и челюсть работает исправно!
06 февраля 2023
многое другое...


5
Алена Дармилова
Обратилась к Руслану Магомедовичу с проблемой щелкающего сустава. Мучили головные боли. После тщательного обследования врач изготовил мне каппу. Носила около месяца, но каждую неделю нужно было делать ее коррекцию. После каппы решила остаться у этого же доктора на полную реставрацию зубов. Сделал вначале временные коронки, сейчас уже на этапе постоянных. Боли в суставе прошли сразу же, реставрациями поменяли форму зубов. Улыбкой очень довольна. Закончу лечение и приведу маму.
12 декабря 2022
многое другое...


5
Татьяна Иванова
1 сеанс у него - и сразу получили результат ( прошло головокружение и обморок при установке ортотика - он меняет положение челюсти и воздух проникает на 100% в моем случае, а организм-то не привык и был удивлён). В итоге после сеанса ортотик установлен. Планирую и дальше обращаться только к этому врачу. У него особая атмосфера, сразу видно, что человек в своём деле, своей стихии. Такому врачу доверяешь.
20 ноября 2022
многое другое...


5
Алина Соколова
Сегодня ровно 1 месяц, как я круглосуточно ношу жёсткую каппу на нижней челюсти, и должна сказать: несмотря на то, что доктор предупредил меня, что носить её придётся ДОЛГО (у всех пациентов это занимает разное время: кому-то хватает 2 - 3 месяцев, а кому-то понадобится и год...) до полного исчезновения болевых симптомов и нормального открывания рта, так вот, уже спустя месяц у меня ЕСТЬ РЕЗУЛЬТАТЫ, которые не могут не радовать.
23 декабря 2022
многое другое...


4
Ксения Булгакова
Всем знакомым, которые собираются удалять зубы мудрости, я советую на всякий случай после удаления обратиться к ортодонту. Ведь если бы я обратилась к врачу сразу, а не тянула до тех пор, пока рот стал открываться только с болью, то лечение могло быть легче, короче и дешевле.
02 февраля 2023
многое другое...






5
Олеся Никитина
Я жутко мнительная и трусиха в отношении всего, что касается стоматологии (думаю, не я одна). Имплантация была осознанным выбором, но укротить чувство страха мой мозг не мог. Читала отзывы об имплантации зуба – все пишут, что не больно. Но дважды докалывали анестезию – так сильно себя накрутила, что мне казалось, что она не действует. Но в итоге нужная доза обеспечила полное отсутствие ощущений – о том, что что-то происходит, я слышала только по звукам работающего оборудования. В итоге от такой дозы анестетика отходила долго, я искусала себе внутри щеки и губы, потому что чувствительность полная вернулась только часов через 6.
22 марта 2023
многое другое...






5
Терезинская Анжела
Восстанавливала три зуба в клинике, порадовали оперативностью: поставили импланты и сразу протез с коронками. По ощущениям вполне терпимо, во время процедуры вообще кроме нажима и вкручивания ничего не чувствовала, когда отошла «заморозка», чуть поныло, но кетанол решил вопрос за несколько минут. Клиникой и ее специалистами довольна. Спасибо.
14 апреля 2023
многое другое...




5
Анна Евсеева
Понравилось, что тут реально думают о безопасности пациента, а не на бабки раскручивают: моей подруге посмотрели эмаль и сказали, что она у нее слабая, и виниры просто все разрушат нафиг. Я же поставила (мы вместе хотели), у меня эмаль хорошая и крепкая. Поэтому могу сказать, что врач тут профи, можно не бояться!
15 июня 2023
многое другое...






5
Антон Маслов
Доктор Дибиров оч крутой. Спокойно и без лишней суеты поставил мне три коронки так, что теперь как свои. Оч доволен. Доктору респект.
12 марта 2023
многое другое...




5
Екатерина Смирнова
Керамическая вкладка совсем не заметна и прочна. Пломба с ней, конечно, не сравнится. Главное - найти своего профессионала для грамотной подготовки и установки.
20 июня 2023
многое другое...


5
Александ Сергеев
Удалял кучу зубов (8 шт.). Думал по началу, что будет больно, но оказалось всё намного радужнее: удаления проходили без проблем! Чувствуется рука профессионала! (Рука Бога). Всем советую обратиться.
19 февраля 2023
многое другое...




5
Надежда Аксенова
Мое личное мнение: импланты - это не то, на чем стоит экономить. Лучше делать в проверенной клинике, а не искать сомнительно дешевые предложения в частных стомат. кабинетах, где неизвестно, есть ли в наличии кварцевая лампа.
17 марта 2023
Спасибо за заявку!
В ближайшее время мы свяжемся с вами
В ближайшее время мы свяжемся с вами
Ошибка! Что-то пошло не так.
Познакомиться с кандидатом
медицинских наук
медицинских наук
Врач гнатолог, хирург-имплантолог, ортопед-стоматолог
Руслан Дибиров
Являясь академическим экспертом по гнатологии, я знаю, как наладить правильную работу ВНЧС, координацию жевательных мышц и полноценное смыкание (окклюзию) зубов. Провожу консультации не только пациентов, но и врачей-стоматологов, функциональную диагностику и лечение, успешную имплантацию на различных системах с последующей установкой эстетических реставраций. Я лечу причину, а не следствие.
Спасибо за заявку!
В ближайшее время мы свяжемся с вами
В ближайшее время мы свяжемся с вами
Ошибка! Что-то пошло не так.
20 лет
ОПЫТ
Более 3 млн.
Вложено в образование
16
Имплатанций в неделю
12+ стран
ГЕОГРАФИЯ пациентов
Почитать экспертные статьи
20(1).png)



.png)





